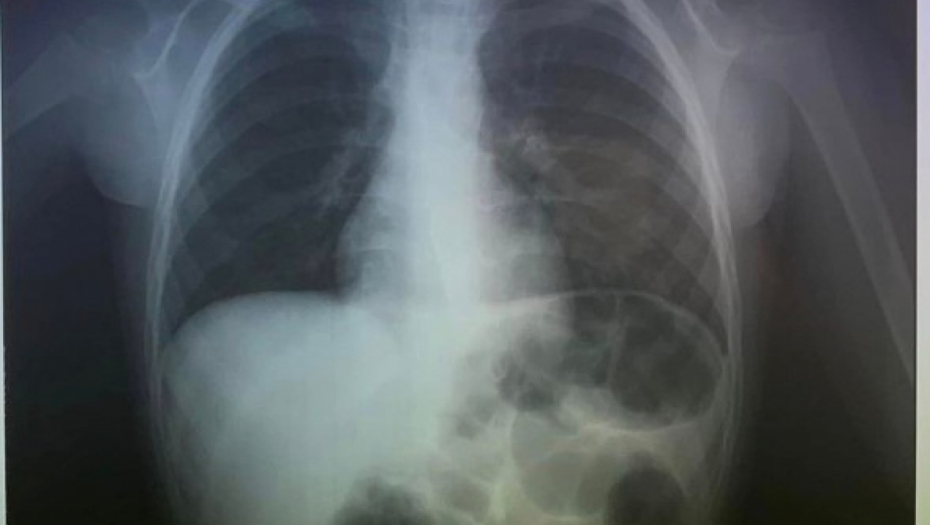
Porodica na Kritu doživela je pravu dramu nakon što je četvorogodišnji dečak progutao novčić.

Kako pišu lokalni mediji, roditelji su dečaka odveli u bolnicu nekoliko sati pre dolaska Nove 2024. godine.

Doktori su prvo uradili rendgen, kako bi videli gde je završio novčić i videli da se zaglavio u grlu.

Box: Facebook video

Srećom uspeli su da ga izvade i dečak se vratio kući sa porodicom.

Doktori su na Fejsbuku objavili fotografije nakon intervencije.

"Oprostili smo se od 2023. godine hitnim vađenjem novčića koji je progutao dečak (4). Srećna Nova godina", napisali su oni.

BONUS VIDEO

Box: Video